skip to main
|
skip to sidebar
Big Bad
since 2008 Christmas Eve. Only for education, not for money!
Friday, May 21, 2010
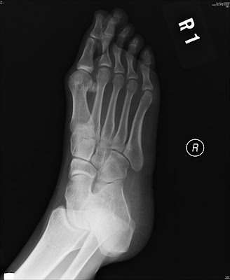
Hallux valgus
Right foot postop X-ray
Left foot
Hallus valgus angle: pre-OP: 45 degree post-OP 15 degree
Intermetatarsal angle: pre-OP: 15 degree post-OP 11 degree
No comments:
Post a Comment
Newer Post
Older Post
Home
Subscribe to:
Post Comments (Atom)
Labels
Alex
Alicia
Classification orthopaedics
Family
fracture
ICD-9
Jennifer
Medical
MRI
News
OP
OrthopaedicsEnglish
tendon
unsorted
喜愛網站
ICD-9
Orthopaedic Knowledge Update Trauma
Homepage of Kevin Wu
Blog Archive
►
2008
(29)
►
December
(29)
►
Dec 24
(5)
►
Dec 25
(15)
►
Dec 26
(1)
►
Dec 27
(3)
►
Dec 28
(1)
►
Dec 29
(2)
►
Dec 30
(1)
►
Dec 31
(1)
►
2009
(209)
►
January
(20)
►
Jan 08
(3)
►
Jan 10
(1)
►
Jan 11
(1)
►
Jan 12
(3)
►
Jan 14
(2)
►
Jan 15
(2)
►
Jan 17
(1)
►
Jan 19
(2)
►
Jan 20
(1)
►
Jan 21
(1)
►
Jan 23
(2)
►
Jan 24
(1)
►
February
(19)
►
Feb 02
(2)
►
Feb 04
(1)
►
Feb 05
(1)
►
Feb 07
(1)
►
Feb 10
(3)
►
Feb 14
(1)
►
Feb 17
(1)
►
Feb 19
(3)
►
Feb 21
(2)
►
Feb 24
(1)
►
Feb 25
(1)
►
Feb 26
(2)
►
March
(29)
►
Mar 03
(1)
►
Mar 04
(1)
►
Mar 08
(1)
►
Mar 12
(2)
►
Mar 14
(1)
►
Mar 17
(3)
►
Mar 18
(1)
►
Mar 19
(1)
►
Mar 21
(9)
►
Mar 22
(1)
►
Mar 24
(1)
►
Mar 28
(2)
►
Mar 29
(1)
►
Mar 30
(1)
►
Mar 31
(3)
►
April
(48)
►
Apr 02
(1)
►
Apr 04
(1)
►
Apr 06
(1)
►
Apr 08
(2)
►
Apr 09
(4)
►
Apr 14
(3)
►
Apr 16
(5)
►
Apr 17
(9)
►
Apr 18
(3)
►
Apr 19
(1)
►
Apr 20
(2)
►
Apr 21
(1)
►
Apr 22
(1)
►
Apr 23
(3)
►
Apr 24
(3)
►
Apr 25
(1)
►
Apr 26
(4)
►
Apr 29
(3)
►
May
(16)
►
May 07
(1)
►
May 09
(1)
►
May 10
(1)
►
May 11
(1)
►
May 12
(1)
►
May 16
(1)
►
May 21
(1)
►
May 26
(2)
►
May 27
(1)
►
May 28
(5)
►
May 30
(1)
►
June
(8)
►
Jun 12
(2)
►
Jun 19
(1)
►
Jun 25
(2)
►
Jun 27
(2)
►
Jun 30
(1)
►
July
(30)
►
Jul 01
(1)
►
Jul 02
(2)
►
Jul 03
(1)
►
Jul 04
(1)
►
Jul 05
(1)
►
Jul 07
(1)
►
Jul 08
(2)
►
Jul 17
(2)
►
Jul 20
(1)
►
Jul 23
(9)
►
Jul 24
(1)
►
Jul 26
(1)
►
Jul 27
(1)
►
Jul 29
(1)
►
Jul 30
(2)
►
Jul 31
(3)
►
August
(18)
►
Aug 01
(1)
►
Aug 03
(3)
►
Aug 04
(1)
►
Aug 06
(1)
►
Aug 07
(2)
►
Aug 09
(3)
►
Aug 10
(3)
►
Aug 14
(1)
►
Aug 22
(1)
►
Aug 26
(2)
►
September
(8)
►
Sep 01
(2)
►
Sep 04
(1)
►
Sep 10
(1)
►
Sep 17
(1)
►
Sep 23
(1)
►
Sep 24
(2)
►
October
(7)
►
Oct 03
(1)
►
Oct 06
(1)
►
Oct 13
(1)
►
Oct 20
(1)
►
Oct 21
(1)
►
Oct 27
(2)
►
November
(2)
►
Nov 09
(1)
►
Nov 16
(1)
►
December
(4)
►
Dec 22
(1)
►
Dec 26
(1)
►
Dec 29
(1)
►
Dec 31
(1)
▼
2010
(51)
►
January
(1)
►
Jan 25
(1)
►
February
(7)
►
Feb 03
(1)
►
Feb 05
(1)
►
Feb 11
(1)
►
Feb 17
(1)
►
Feb 25
(2)
►
Feb 27
(1)
►
March
(11)
►
Mar 04
(1)
►
Mar 05
(1)
►
Mar 11
(1)
►
Mar 16
(1)
►
Mar 19
(1)
►
Mar 23
(2)
►
Mar 24
(1)
►
Mar 28
(2)
►
Mar 31
(1)
►
April
(4)
►
Apr 05
(1)
►
Apr 06
(2)
►
Apr 07
(1)
▼
May
(4)
►
May 10
(2)
▼
May 21
(2)
Distal radius fracture with acute scapholunate dis...
Hallux valgus
►
June
(4)
►
Jun 22
(4)
►
July
(5)
►
Jul 06
(1)
►
Jul 07
(1)
►
Jul 29
(2)
►
Jul 30
(1)
►
August
(6)
►
Aug 04
(1)
►
Aug 12
(1)
►
Aug 18
(1)
►
Aug 19
(1)
►
Aug 24
(1)
►
Aug 25
(1)
►
September
(5)
►
Sep 09
(2)
►
Sep 10
(1)
►
Sep 17
(2)
►
December
(4)
►
Dec 05
(1)
►
Dec 15
(2)
►
Dec 23
(1)
►
2011
(21)
►
January
(10)
►
Jan 09
(1)
►
Jan 12
(1)
►
Jan 13
(3)
►
Jan 14
(1)
►
Jan 15
(1)
►
Jan 17
(1)
►
Jan 18
(1)
►
Jan 19
(1)
►
February
(1)
►
Feb 15
(1)
►
March
(2)
►
Mar 11
(1)
►
Mar 29
(1)
►
April
(1)
►
Apr 19
(1)
►
May
(3)
►
May 10
(1)
►
May 25
(2)
►
June
(3)
►
Jun 23
(3)
►
August
(1)
►
Aug 21
(1)
Followers
About Me
Big Bad Wu since 2008 Christmas Eve
View my complete profile
No comments:
Post a Comment